Nature & SpaceNature & Space

Atualizado 8 de março de 2026 por Sergio A. Loiola

Regeneração de cartilagem de joelhos é testada em terapia inovadora apenas inibindo enzima do envelhecimento, as “gerozimas”, sem a necessidade de cirurgias, por cientistas da Universidade de Stanford.

A pesquisa foi publicada na Revista Science.

A seguir veremos como a regeneração de cartilagem de joelhos está a beira de uma revolução através do controle de enzimas do envelhecimento por pesquisadores de Stanford. Em texto, imagens e vídeos.

Um novo tratamento reverteu a perda de cartilagem relacionada à idade e impediu a formação de artrite após lesões no joelho em ratos. A abordagem também desencadeou a regeneração da cartilagem em tecido humano. Imagem: Gemini, IA do Google.

Se o segredo para a regeneração não está em ‘adicionar’ algo novo ao corpo, mas sim em ‘bloquear’ o sinal biológico que ordena o envelhecimento, estaríamos diante da chave para a longevidade funcional?

Nature & SpaceNature & Space

Até que ponto o desgaste físico que aceitamos como ‘natural’ é apenas um erro de comunicação enzimática que agora aprendemos a editar?

Deixe seu comentário no final!

Vídeo 1: Cientistas descobrem maneira de recuperar a cartilagem dos joelhos

Vídeo 2: Chegou a cura da artrose?

Vídeo 3: Artrose no Joelho e Genética

LEIA MAIS

Pesquisa Genética Identifica Predisposição a Osteoartrite de Joelho | Nature & Space

Diagnóstico e Tratamento da Necrose na Cabeça do Osso do Quadril

Cientistas da UFRJ Descobrem Proteína Capaz de Reverte Lesão da Medula

Compartilhar é Livre. Ajude-nos Citando o Link Deste Artigo!

Regenerar cartilagem do joelho inibindo enzimas do envelhecimento: Uma alternativa promissora que dispensa cirurgias invasivas.

Um estudo liderado pela Stanford Medicine descobriu que o bloqueio de uma “geroenzima”, uma enzima promove o envelhecimento reverte a perda de cartilagem em tecido humano, e a osteoartrite (OA) em teste de laboratório.

A osteoartrite (OA), frequentemente chamada de artrose, é uma das doenças crônicas mais prevalentes no mundo, impulsionada principalmente pelo envelhecimento populacional e lesões articulares (como obesidade e traumas).

No mundo afeta aproximadamente 15% da população mundial com mais de 30 anos. As estimativas indicam que os casos aumentaram de 256 milhões para 595 milhões em três décadas (1990-2020) e a projeção é que quase 1 bilhão de pessoas terão a doença até 2050.

Um novo tratamento reverteu a perda de cartilagem relacionada à idade e impediu a formação de artrite após lesões no joelho em ratos. A abordagem também desencadeou a regeneração da cartilagem em tecido humano, apontando para futuras terapias que poderiam substituir a cirurgia articular. Crédito: Shutterstock


No Brasil estima-se que 15 milhões de brasileiros sofram de osteoartrite, e afeta 20% da população dos EUA. É a segunda doença mais prevalente em idosos, sendo causa significativa de dor crônica e limitação física.

O tratamento também preveniu o desenvolvimento de artrite após lesões no joelho semelhantes às rupturas do ligamento cruzado anterior (LCA) frequentemente sofridas por atletas ou praticantes de exercícios físicos recreativos.

Amostras de tecido humano provenientes de cirurgias de substituição do joelho — que incluem tanto o arcabouço extracelular, ou matriz, da articulação, quanto as células condrócitas geradoras de cartilagem — também responderam ao tratamento produzindo cartilagem nova e funcional.

Os resultados do estudo sugerem que pode ser possível regenerar a cartilagem perdida devido ao envelhecimento ou à artrite com um medicamento oral ou injeção local, tornando desnecessária a substituição do joelho e do quadril.

O tratamento atua diretamente na causa da osteoartrite, uma doença articular degenerativa que afeta um em cada cinco adultos nos Estados Unidos e que custa cerca de US$ 65 bilhões em despesas diretas com saúde a cada ano.

Nenhum medicamento consegue retardar ou reverter a doença; os principais tratamentos para a osteoartrite são o controle da dor e a substituição cirúrgica das articulações afetadas.

Vídeo 1: Cientistas descobrem maneira de recuperar a cartilagem dos joelhos

LEIA MAIS

​Sarcobesidade: O Desafio da Perda de Massa e Força Muscular

Cientistas Russos e Coreanos Criam Gel Que Regenera Ossos

Teste Reduziu Idade Biológica 15 Anos ao Retirar 3 Alimentos

Compartilhar é Livre. Ajude-nos Citando o Link Deste Artigo!

As “gerozimas”, regulador do processo de envelhecimento, também são responsáveis ​​pela perda da função tecidual

A proteína 15-PGDH — denominada gerozima devido ao aumento de sua prevalência com o envelhecimento — é um regulador mestre do processo de envelhecimento.

As gerozimas, identificadas pelos mesmos pesquisadores em 2023, também são responsáveis ​​pela perda da função tecidual. Elas são um fator importante na perda de força muscular relacionada à idade em camundongos.

O bloqueio da função da 15-PGDH com uma pequena molécula resulta em um aumento da massa muscular e da resistência em animais idosos.

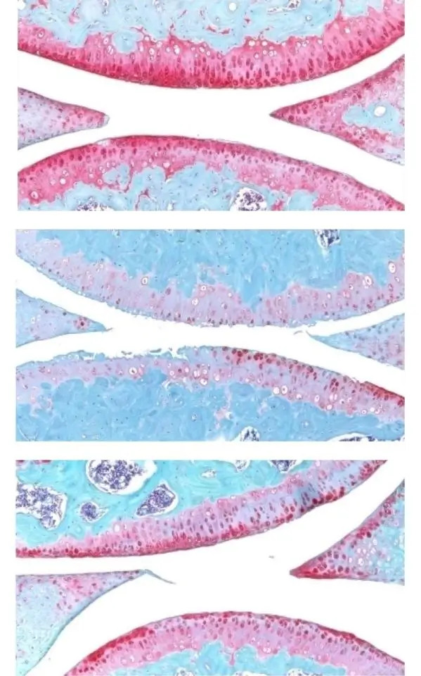
Articulação do joelho de um rato jovem (acima), de um rato idoso (no meio) e de um rato idoso tratado (abaixo). A cor vermelha indica a cartilagem.  Imagem:
Nidhi Bhutani

Por outro lado, a expressão da 15-PGDH em camundongos jovens causa a atrofia e o enfraquecimento de seus músculos. A gerozima também está envolvida na regeneração de células ósseas, nervosas e sanguíneas.

Em cada um desses tecidos, a regeneração se deve ao aumento da proliferação e especialização de células-tronco específicas do tecido.

No entanto, os condrócitos alteram seus padrões de expressão gênica para assumir um estado mais jovem sem o envolvimento de células-tronco. 

Blau, que dirige o  Laboratório Baxter de Biologia de Células-Tronco e é o Professor da Fundação Donald E. e Delia B. Baxter, e Nidhi Bhutani, PhD, professora associada de cirurgia ortopédica, são os autores seniores da pesquisa, publicada online em 27 de novembro na revista Science.

A instrutora de cirurgia ortopédica Mamta Singla, PhD, e o ex-bolsista de pós-doutorado Yu Xin (Will) Wang, PhD, são os autores principais do estudo. Wang é atualmente professor assistente no Instituto Sanford Burnham em San Diego. 

Vídeo 2: Chegou a cura da artrose?

LEIA MAIS

Proteína Vegetal e Animal Têm Efeito Idêntico nos Músculos

Proteína Vegetal Aumenta Expectativa de Vida em Adultos

Pedalar Melhora Músculos, Coração, Pulmão, Sono e a Mente

Compartilhar é Livre. Ajude-nos Citando o Link Deste Artigo!

Não havia nenhum medicamento que tratasse diretamente a causa da perda de cartilagem. Mas o inibidor de gerozyme causa uma regeneração drástica da cartilagem

A demanda por tratamento atinge milhões de pessoas, que sofrem de dores e inchaço nas articulações. Com o envelhecimento da população mundial a busca por tratamento deve aumentar muito. Mas ainda não existem soluções fáceis e eficazes.

“Milhões de pessoas sofrem de dores e inchaço nas articulações à medida que envelhecem”, disse Bhutani. “É uma enorme necessidade médica não atendida. Imagem: Wikipedia

Existem três tipos principais de cartilagem no corpo humano.

1- Um deles, a cartilagem elástica, é macio e flexível e forma estruturas como a orelha externa.

2- O segundo, a fibrocartilagem, é denso e resistente, absorvendo impactos em áreas como entre as vértebras da coluna.

3- O terceiro, a cartilagem hialina, é lisa e brilhante, proporcionando uma superfície de baixo atrito para lubrificação e flexibilidade em articulações como tornozelos, quadris, ombros e partes do joelho. A cartilagem hialina — também conhecida como cartilagem articular — é a cartilagem mais comumente afetada pela osteoartrite.

A osteoartrite ocorre quando uma articulação é submetida a estresse devido ao envelhecimento, lesão ou obesidade. Os condrócitos começam a liberar moléculas pró-inflamatórias e a degradar o colágeno, principal proteína estrutural da cartilagem.

Com a perda de colágeno, a cartilagem torna-se mais fina e amolecida; a inflamação resultante causa o inchaço e a dor articular característicos da doença. Em circunstâncias normais, a cartilagem articular raramente se regenera.

Embora algumas populações de células-tronco ou progenitoras capazes de gerar cartilagem tenham sido identificadas nos ossos, as tentativas de identificar populações semelhantes de células na cartilagem articular não obtiveram sucesso.

Pesquisas anteriores do laboratório de Blau demonstraram que uma molécula chamada prostaglandina E2 é essencial para a função das células-tronco musculares.

A 15-PGDH degrada a prostaglandina E2. A inibição da atividade da 15-PGDH, ou o aumento dos níveis de prostaglandina E2, favorece a regeneração de células musculares, nervosas, ósseas, do cólon, do fígado e do sangue danificadas em camundongos jovens.

Blau, Bhutani e seus colegas questionaram se a 15-PGDH também poderia desempenhar um papel no envelhecimento da cartilagem e das articulações.

Eles queriam descobrir se uma via semelhante contribui para a perda de cartilagem devido ao envelhecimento ou em resposta a lesões.

Ao comparar a quantidade de 15-PGDH na cartilagem do joelho de camundongos jovens e idosos, observaram que, assim como em outros tecidos, os níveis da gerozima aumentaram cerca de duas vezes com a idade.

Em seguida, eles experimentaram injetando em animais idosos uma pequena molécula que inibe a atividade da 15-PGDH — primeiro no abdômen, o que afeta todo o corpo, e depois diretamente na articulação.

Em todos os casos, a cartilagem do joelho, que era visivelmente mais fina e menos funcional em animais mais velhos em comparação com camundongos mais jovens, tornou-se mais espessa na superfície da articulação.

Experimentos adicionais confirmaram que os condrócitos na articulação estavam gerando cartilagem hialina, ou articular, em vez de fibrocartilagem, que é menos funcional.

Vídeo 3: Artrose no Joelho e Genética

LEIA MAIS

Pesquisa Revela Que Vitamina D3 Retarda o Envelhecimento

Pesquisa da UFRGS Sugere que Alzheimer Teria Causa em Inflamação no Cérebro | Nature & Space

Cientistas: Perda de Lítio Está Associado a Alzheimer

UFRJ e USP Descobrem Molécula Que Reverte Déficit Cognitivo

Compartilhar é Livre. Ajude-nos Citando o Link Deste Artigo!

Resultados semelhantes foram observados em animais com lesões no joelho, como as rupturas do ligamento cruzado anterior (LCA)

Resultados semelhantes foram observados em animais com lesões no joelho, como as rupturas do ligamento cruzado anterior (LCA), que ocorrem frequentemente em pessoas que praticam esportes como futebol, basquete e esqui, que exigem mudanças repentinas de direção, paradas ou saltos.

Embora as rupturas possam ser reparadas cirurgicamente, cerca de 50% das pessoas desenvolvem osteoartrite na articulação lesionada em aproximadamente 15 anos.

Os pesquisadores descobriram que uma série de injeções, duas vezes por semana durante quatro semanas, do inibidor de gerozyme após a lesão reduziu drasticamente a probabilidade de desenvolvimento de osteoartrite nos ratos.

A inibição da gerozima 15-PGDH leva à regeneração da cartilagem por meio de alterações na expressão gênica e uma mudança na composição celular, de fibrocartilagem para cartilagem hialina. Imagem: Do Artigo: https://www.science.org/doi/10.1126/science.adx6649

Os animais tratados com um medicamento de controle apresentaram níveis de 15-PGDH duas vezes maiores do que os de seus pares não lesionados e desenvolveram osteoartrite em quatro semanas.

Os animais tratados com o inibidor de gerozyme também apresentaram movimentos mais típicos e maior apoio na pata da perna afetada do que os animais não tratados.

Uma análise mais detalhada dos condrócitos nas articulações de camundongos idosos e jovens mostrou que os condrócitos idosos expressavam mais genes prejudiciais envolvidos na inflamação e na conversão da cartilagem hialina em osso indesejado, e menos genes envolvidos no desenvolvimento da cartilagem.

Os pesquisadores também conseguiram identificar subcategorias de condrócitos senescentes que alteram seus padrões de expressão gênica após o tratamento.

Uma delas, que expressa 15-PGDH e genes envolvidos na degradação da cartilagem, teve sua prevalência reduzida de 8% para 3% após o tratamento.

Outra, que não expressa 15-PGDH, mas expressa genes envolvidos na produção de fibrocartilagem, também teve sua prevalência reduzida: de 16% para 8% após o tratamento.

Uma terceira população, que não produz 15-PGDH e que expressa genes envolvidos na formação de cartilagem hialina e na manutenção da matriz extracelular necessária para sua função, teve sua prevalência aumentada de 22% para 42% após o tratamento.

Por fim, os pesquisadores estudaram tecido cartilaginoso humano removido de pacientes com osteoartrite submetidos a artroplastia total do joelho.

O tecido tratado com o inibidor de 15-PGDH durante uma semana apresentou níveis mais baixos de condrócitos que expressam 15-PGDH, além de menor degradação da cartilagem e expressão de genes de fibrocartilagem em comparação com o tecido controle, e iniciou a regeneração da cartilagem articular.

Blau acrescentou:

“Os ensaios clínicos de Fase 1 de um inibidor de 15-PGDH para fraqueza muscular demonstraram que ele é seguro e eficaz em voluntários saudáveis.

“Nossa esperança é que um ensaio semelhante seja iniciado em breve para testar seu efeito na regeneração da cartilagem. Estamos muito entusiasmados com essa possível descoberta inovadora.

Imagine regenerar a cartilagem existente e evitar a substituição da articulação.”

Pesquisadores do Instituto de Descobertas Médicas Sanford Burnham Prebys contribuíram para o trabalho.

Bibliografia

Revista Science

Inhibition of 15-hydroxyprostaglandin dehydrogenase promotes cartilage regeneration.

DOI: 10.1126/science.adx6649

Stanford Medicine

Inhibition of a master regulator of aging regenerates articular cartilage in rats.

Análise Audiovisual

Vídeo 1 Record Interior SP: Cientistas descobrem maneira de recuperar a cartilagem dos joelhos

Vídeo 2 Dr. Bruno Pavei | Especialista em Joelho: Chegou a cura da artrose?

Vídeo 3 Dr. Adriano Karpstein: Artrose no Joelho e Genética

Política de Uso

Compartilhar é Livre. Ajude-nos Citando o Link Deste Artigo!

Regenerar Cartilagem de Joelho Sem Cirurgia é Possível Bloqueando Enzimas do Envelhecimento | Nature & Space

LEAVE A REPLY

Please enter your comment!
Please enter your name here