Atualizado 25 de abril de 2026
Pesquisadores liderados por cientista brasileiro desenvolveram um dispositivo de Ressonância Magnética odontológica inédito que gera imagens detalhadas de tecidos moles na boca, com diagnósticos rápidos e sem radiação.
A pesquisa foi publicada na Revista Dentomaxillofacial Radiology.
Estaríamos presenciando o nascimento de uma nova era de odontologia de precisão, onde o invisível finalmente se torna visível, ou apenas uma ferramenta de luxo para clínicas de elite?

Veremos a seguir como os pesquisadores desenvolveram a nova ressonância Magnética bucal, e como as imagens detalhes de tecidos moles antecipam diagnósticos mais rápidos e precisos, sem os riscos da radiação podem ajudar a saúde pública. Em texto, imagens e vídeos.
Vídeo 1: Esse Brasileiro Pode Ter Criado Uma Das Maiores Revoluções Em Diagnósticos Odontológicos
Vídeo 2: Ressonância Magnética Na Odontologia
🔭 Siga Nature & Space no Google News 📨

LEIA MAIS
Bactérias Boas, Os ProBióticos, Podem Melhorar a Saúde dos Ossos | Nature & Space
Cientistas Criaram Cola para Unir Ossos Quebrados em 3 Min | Nature & Space
Cientistas Russos e Coreanos Criam Gel Que Regenera Ossos | Nature & Space
Compartilhar é Livre. Ajude-nos Citando o Link Deste Artigo!
Um salto para a saúde publica: A Ressonância Magnética odontológica era esperado pela comunidade para fazer exames e diagnósticos mais precisos
A odontologia sempre dependeu de Raios-X e Tomografias para guiar diagnósticos, mas esses métodos, embora eficazes para estruturas ósseas e dentárias, oferecem uma visão limitada dos tecidos moles bucais — gengivas, ligamentos e nervos — além de expor o paciente à radiação ionizante cumulativa no corpo.
Os métodos atuais são ótimos para dentes, ossos, mas ruins para gengivas, nervos e ligamentos dos tecidos moles.
Um professor brasileiro rompeu essa barreira histórica ao desenvolver uma Ressonância Magnética bucal inédita.

Capaz de gerar imagens ultra-detalhadas dos tecidos moles bucal em tempo recorde e com zero radiação, essa inovação não apenas acelera diagnósticos complexos, mas redefine a segurança na prática odontológica.
Este dispositivo une a engenharia biomédica de ponta com um benefício direto e tangível para a população, com diagnóstico mais seguro e preciso. É a “física teórica aplicada” ao microcosmo da nossa boca.
O equipamento foi desenvolvido por uma equipe liderada pelo cirurgião-dentista e pesquisador Rubens Spin-Neto, professor da Universidade de Aarhus, na Dinamarca.
A proposta é levar para a odontologia a mesma precisão diagnóstica que a ressonância magnética já oferece em outras áreas da medicina.
Segundo o pesquisador, o principal diferencial da novidade é a capacidade de gerar imagens mais completas e seguras, revelando alterações que muitas vezes não aparecem em exames tradicionais.

Além disso, o método elimina totalmente o uso de radiação ionizante, comum em radiografias e tomografias.
A pesquisa conta com uma parceria da Dentsply Sirona, fabricante mundial de produtos e equipamentos odontológicos, e a Siemens Healthineers, provedora global de equipamentos, soluções e serviços de saúde.
“O equipamento representa um avanço significativo na imagem odontológica, fornecendo informações sobre estruturas dentárias que não eram facilmente visíveis em outras modalidades de imagem, sem os riscos associados à radiação ionizante”, Prof. Rubens Spin-Neto.
Com a aprovação do Magnetom Free Max Dental Edition pela Agência Nacional de Vigilância Sanitária (Anvisa), o Brasil se torna o primeiro país da América Latina a contar com um equipamento de RM exclusivamente para uso odontológico.
▶️ Inscreva-se no Canal Nature & Space: Videos Novos nas PlayLists Todo Dia!

Vídeo 1: Esse Brasileiro Pode Ter Criado Uma Das Maiores Revoluções Em Diagnósticos Odontológicos
LEIA MAIS
Sarcobesidade: O Desafio da Perda de Massa e Força Muscular
Pedalar Melhora Músculos, Coração, Pulmão, Sono e a Mente
Criados Mini Órgãos Vascularizados de Coração e Fígado | Nature & Space
Diagnóstico e Tratamento da Necrose na Cabeça do Osso do Quadril | Nature & Space
Compartilhar é Livre. Ajude-nos Citando o Link Deste Artigo!
A ressonância magnética (RM) é uma modalidade de imagem não invasiva, livre de radiação ionizante, e se tornou um método de diagnóstico indispensável
O desenvolvimento do equipamento é notável por que havia uma demanda não atendida de ressonância magnética aplicada a odontologia.
Conforme os pesquisadores, a ressonância magnética (RM) é uma modalidade de imagem não invasiva e livre de radiação ionizante que se tornou um método de diagnóstico médico indispensável.
A literatura sugere a RM como uma modalidade diagnóstica potencial em radiologia dentomaxilofacial. No entanto, os equipamentos de RM atuais são projetados para imagens médicas (por exemplo, imagens cerebrais e corporais), com uso geral em radiologia.

Com isso, o custo de aquisição e manutenção desses equipamentos é elevado para os odontólogos, além da complexidade de sua operação.
Já a ressonância magnética dedicada à odontologia oferece imagens mais precisas, seguras e capazes de revelar alterações que hoje passam despercebidas nos exames tradicionais.
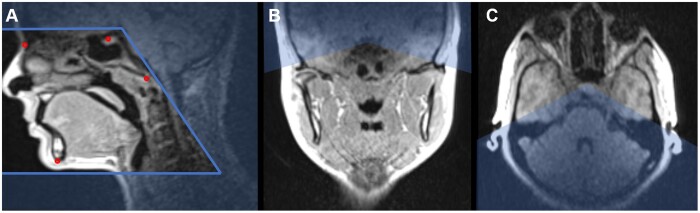
Outro avanço importante é a possibilidade de visualizar com clareza não apenas estruturas duras, como dentes e ossos, mas também os tecidos moles da boca.
“Muitas vezes o paciente procura o dentista por dor, cárie ou um problema ósseo, mas a origem pode estar nos tecidos moles. Essa é a primeira modalidade de imagem que consegue, dentro da odontologia, avaliar tanto os tecidos mineralizados quanto os tecidos moles de forma detalhada” Rubens Spin-Neto.
Isso permite identificar a origem de dores, inflamações e outras doenças de forma mais precoce, antes que os problemas avancem.
A nova tecnologia é eliminar completamente a exposição à radiação ionizante, comum na maior parte dos exames de imagem usados atualmente na odontologia.
“A maioria das máquinas que utilizamos hoje depende de radiação ionizante, que, quando acumulada ao longo da vida, está associada a um aumento do risco de câncer. A ressonância magnética não usa esse tipo de radiação e, por isso, é considerada um método totalmente seguro”, Rubens Spin-Neto.
O equipamento funciona de maneira semelhante a uma ressonância hospitalar, mas com adaptações importantes. O paciente fica deitado e uma antena específica capta imagens da região maxilofacial, incluindo boca, mandíbula, maxila e seios maxilares.

O desenvolvimento da máquina começou em 2021, e os primeiros estudos clínicos tiveram início em 2022. Desde então, mais de 500 pacientes já foram avaliados dentro das pesquisas iniciais, que analisam a qualidade das imagens, os benefícios clínicos e a experiência do paciente durante o exame.
“O MAGNETOM Free.Max Dental Edition representa um avanço significativo na imagem odontológica, fornecendo excelentes informações sobre estruturas dentárias que não eram facilmente visíveis em outras modalidades de imagem, sem os riscos associados à radiação ionizante”, Prof. Rubens Spin-Neto.
“Esta inovação é um poderoso acréscimo ao nosso portfólio de imagens avançadas.
Os testes começaram na Dinamarca e, a partir de 2024, foram ampliados para outros países da Europa e da América do Norte. Hoje, existem cerca de dez equipamentos em uso no mundo, a maioria ainda em ambiente de pesquisa.
“Ela lembra uma ressonância tradicional, mas é menor, mais leve e focada apenas na região da face. Isso torna o exame menos claustrofóbico e mais confortável para o paciente”, diz o pesquisador.
Entre as Principais Características da RM Bucal estão:
1- Sem Radiação: Diferente da tomografia computadorizada, a RM odontológica não utiliza radiação ionizante, tornando o exame mais seguro.
2- Foco em Tecidos Moles: O equipamento é otimizado para gerar imagens detalhadas de tecidos moles na região bucal, algo difícil de visualizar com métodos convencionais.
3- Tamanho Compacto: Projetado para ser compacto, adequando-se a clínicas, universidades e hospitais de alta complexidade.
O equipamento recebeu avaliação clínica no 43º Congresso Internacional de Odontologia de São Paulo (CIOSP), a tecnologia demonstrou alta eficácia na avaliação de vitalidade pulpar e detecção de alterações periapicais.
▶️ Inscreva-se no Canal Nature & Space: Videos Novos nas PlayLists Todo Dia!

Vídeo 2: Ressonância Magnética Na Odontologia
LEIA MAIS
Pesquisa Revela Que Vitamina D3 Retarda o Envelhecimento
Cientistas da UFRJ Descobrem Proteína Capaz de Reverte Lesão da Medula
Cura De Feridas Três Vezes Mais Rápido Com Eletricidade | Nature & Space
Compartilhar é Livre. Ajude-nos Citando o Link Deste Artigo!
Tecnologias desenvolvidas e adotadas no Brasil mudaram radicalmente a forma de realizar imagens e tratamento odontológico, reduzindo drasticamente uso de produtos químicos, materiais e radiação
De fato, a odontologia está passando por mudanças radicais no mundo, e no Brasil. A área é uma das principais beneficiária da revolução tecnológica em curso.
Tecnologias desenvolvidas e adotadas no Brasil mudaram radicalmente a forma de realizar imagens dentárias, com algumas inovações substituindo ou reduzindo drasticamente a dependência da radiografia convencional (analógica).

Entres as tecnologias disruptivas na odontologia com grandes contribuições na melhoria da saúde publica estão:
A Radiologia Digital desenvolvida po Pesquisadores da USP, reduzem a exposição à radiação em até 80%, substituindo os filmes radiográficos por sensores eletrônicos que geram imagens instantâneas e mais detalhadas.
O uso da Inteligência Artificial (IA) em imagens desenvolvida por pesquisadores brasileiros, aprimora a qualidade de tomografias, eliminando artefatos metálicos causados por implantes que poderiam mascarar fraturas.
E agora a Ressonância Magnética Odontológica que vimos acima neste texto, uma nova tecnologia desenvolvida com liderança brasileira permite usar ressonância magnética especificamente na cavidade bucal, oferecendo um diagnóstico detalhado de tecidos moles e duros sem nenhuma radiação ionizante.
Os benefícios para a saúde publica são enormes. De forma que as pesquisas são investimentos de retorno certo.
Os Benefícios das Novas Tecnologias fornecem maior precisão. Com diagnósticos detalhados de cáries iniciais e fraturas microscópicas.
Aumento Segurança com a redução da exposição à radiação. Maior Conforto, sem a necessidade de usa “massinhas” de moldagem.
Por fim, a impressão 3D também se integra a esses avanços, permitindo a fabricação rápida de guias cirúrgicos e modelos a partir dos arquivos digitais obtidos.
Todos esses avanças tecnológicos na odontologia configuram uma mudança total de paradigma na abordagem da saúde bucal, que também significa maior sustentabilidade, pois dispensa o uso de produtos químicos, materiais e radiação.
Bibliografia
Curadoria Técnica e Análise Audiovisual: Conteúdo Bibliográfico e Audiovisual Selecionado e Validado por Dr. Sergio Almeida Loiola – CV Lattes/CNPq.
Revista Dentomaxillofacial Radiology
Section of Oral Radiology and Endodontics, Department of Dentistry and Oral Health,
Análise Audiovisual
Vídeo 1 Breno Pfister Curiosidades: Esse Brasileiro Pode Ter Criado Uma Das Maiores Revoluções Em Diagnósticos Odontológicos
Vídeo 2 Além do Motorzinho: Ressonância Magnética Na Odontologia
Política de Uso
Compartilhar é Livre. Ajude-nos Citando o Link Deste Artigo!















